Nam thanh niên chỉ mới 23 tuổi đã bị đột quỵ nguy kịch và đang được điều trị tích cực tại Bệnh viện Đa khoa Quốc tế S.I.S Cần Thơ.
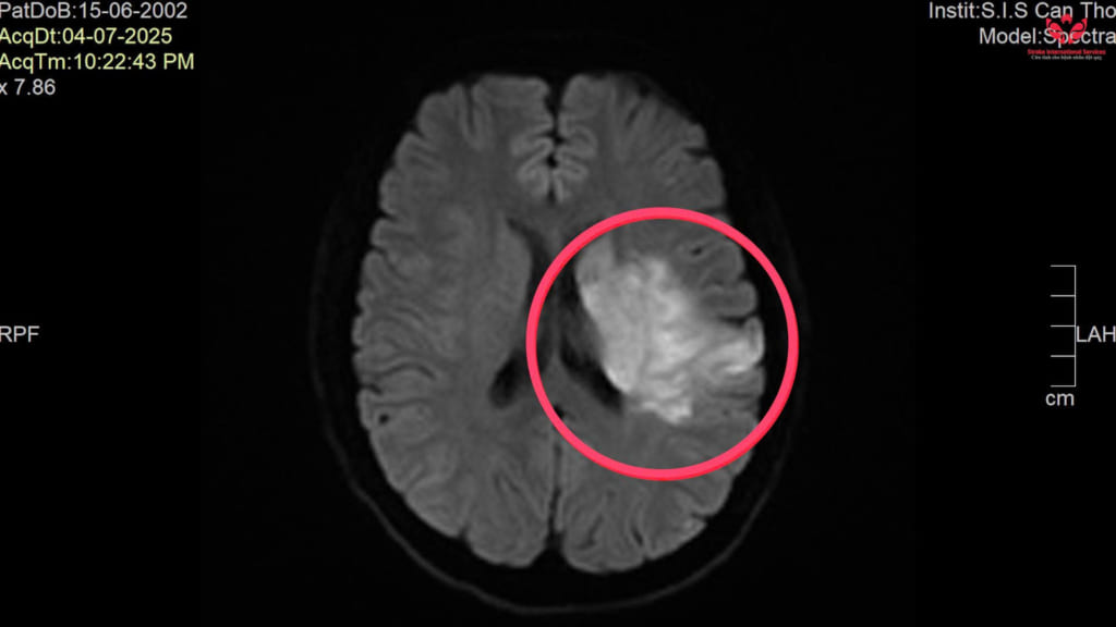
Thông tin ban đầu, bệnh nhân được người nhà phát hiện trong tình trạng lơ mơ, yếu nửa người phải và được chuyển đến Bệnh viện Đa khoa Quốc tế S.I.S Cần Thơ cấp cứu. Kết quả chụp mạch máu não tại S.I.S cho thấy bệnh nhân bị tắc động mạch cảnh trong và động mạch não giữa bên trái, dẫn đến đột quỵ nhồi máu não.

Các bác sĩ tiến hành can thiệp cấp cứu bằng phương pháp hút huyết khối cơ học, giúp tái thông hoàn toàn vùng mạch bị tắc, hạn chế tổn thương não lan rộng. Hiện bệnh nhân đang được theo dõi sát tại khu hồi sức tích cực (ICU).
Thói quen xấu: Hút thuốc lá, thức khuya âm thầm bào mòn cơ thể
Điều đáng nói, bệnh nhân không có tiền sử bệnh lý nền rõ ràng, nhưng theo người nhà, đã có thói quen hút thuốc lá từ năm 17 tuổi và thường xuyên thức khuya đến 1–2 giờ sáng.
BS. CKI Tô Văn Tân – Phó khoa Phẫu thuật Gây mê hồi sức (ICU), nhận định đây là những yếu tố nguy cơ âm thầm nhưng nguy hiểm, làm tăng tốc độ lão hóa thành mạch máu, dẫn đến tình trạng xơ vữa, dễ gây đột quỵ dù tuổi đời còn rất trẻ.

BS. CKI Tô Văn Tân đang thăm khám cho bệnh nhân tại khu ICU
Đột quỵ ở người trẻ đang gia tăng, phần lớn liên quan đến lối sống thiếu lành mạnh như hút thuốc lá, stress kéo dài, thiếu ngủ, dùng chất kích thích… Đây là xu hướng đáng lo ngại, vì đột quỵ ở tuổi này thường bị chủ quan, đến viện trễ dẫn đến hậu quả nặng nề. – BS. Tô Văn Tân cho biết thêm.
Đây là lời cảnh tỉnh cho giới trẻ về việc chủ quan với sức khỏe, nuông chiều các thói quen tưởng chừng “vô hại”. Đột quỵ không còn là căn bệnh của người lớn tuổi, nó có thể đến bất kỳ lúc nào nếu chúng ta tiếp tục thờ ơ với cơ thể mình.
Nếu thấy bất kỳ dấu hiệu như yếu liệt tay chân, méo miệng, nói khó, chóng mặt đột ngột… cần đưa người bệnh đến bệnh viện có đơn vị can thiệp đột quỵ trong vòng 4–6 giờ đầu để có cơ hội điều trị hiệu quả nhất.
Tại Bệnh viện Đa khoa Quốc tế S.I.S Cần Thơ quy trình cấp cứu đột quỵ được kích hoạt 24/7 với đội ngũ chuyên gia và trang thiết bị hiện đại tại vùng ĐBSCL.
Kim Cương, ảnh & video: Đức Thịnh, Tuấn Anh