Đó là trường hợp hy hữu của bé trai tên L.N.T 14 tuổi ngụ huyện Vị Thủy, tỉnh Hậu Giang bị đột quỵ xuất huyết não do tắc tĩnh mạch não Galen. Bệnh viện ĐKQT S.I.S Cần Thơ đã tiếp nhận và điều trị thành công cho em được chuyển từ Bệnh viện Nhi đồng TP. Cần Thơ.
Theo lời kể của người thân trong gia đình, lúc trước em hay bị đau đầu âm ỉ được một lúc rồi hết. Nhưng gần đây, em bị đau đầu nhiều kèm triệu chứng đau bụng, nôn ói. Cha mẹ em nghĩ là cảm cúm thông thường và đưa đến trạm xá gần nhà khám lấy thuốc uống. Đến ngày thứ 3, tình trạng của em trở nặng, bắt đầu rơi vào tình trạng hôn mê. Người nhà lập tức chuyển em đến cấp cứu tại Bệnh viện Nhi đồng TP. Cần Thơ.

Kết hợp hội chẩn từ 2 bệnh viện
Dựa trên các triệu chứng, bác sĩ tại Bệnh viện Nhi đồng TP. Cần Thơ nghi ngờ bị đột quỵ. Do đó, các bác sĩ đã liên hệ, kết hợp hội chẩn với bác sĩ chuyên khoa Thần kinh và Can thiệp nội mạch của Bệnh viện ĐKQT S.I.S Cần Thơ. Sau đó, nhân viên y tế và người nhà đưa em sang Bệnh viện ĐKQT S.I.S Cần Thơ để tiến hành chụp MRI não.
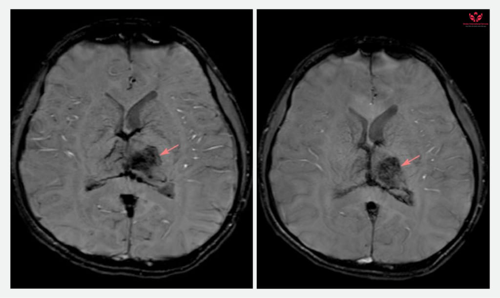
Kết quả ghi nhận tình trạng xuất huyết não, phù não vùng đồi thị. Các bác sĩ của 2 bệnh viện cùng hội chẩn, đưa ra chẩn đoán xác định là đột quỵ xuất huyết não do tắc tĩnh mạch Galen. Sau khi có kết quả hội chẩn, gia đình em được các bác sĩ Bệnh viện Nhi đồng TP. Cần Thơ hướng dẫn nhập viện can thiệp điều trị cấp cứu tại Bệnh viện ĐKQT S.I.S Cần Thơ.
Can thiệp “cân não”
Là bác sĩ can thiệp trực tiếp cho em L.N.T, ThS. BS Lê Minh Thắng – Đơn vị Can thiệp mạch DSA, Bệnh viện ĐKQT S.I.S Cần Thơ cho biết: “Trường hợp của em T. khá hiếm gặp trên thực tế. Dựa trên kết quả chụp MRI của em T. ghi nhận tình trạng xuất huyết não kết hợp với phù vùng đồi thị. Tình trạng bệnh khá nặng cần chỉ định can thiệp sớm để khai thông tĩnh mạch bị tắc nghẽn. Sau khi có kết quả hội chẩn, em được gia đình chuyển ngay sang Bệnh viện ĐKQT S.I.S Cần Thơ. Ngay sau đó, ekip đã tiến hành can thiệp cấp cứu cho em.

Chúng tôi đã tiến hành can thiệp lấy ra rất nhiều cục máu đông trong tĩnh mạch Galen và xoang thẳng và khai thông được tĩnh mạch bị tắc nghẽn. Sau can thiệp, em được hồi sức tích cực, duy trì kháng đông đường uống dự phòng máu đông. Sau thời gian điều trị, tri giác và sức cơ của em đã cải thiện có thể đi lại, hết đau đầu… ”.

Lúc được bác sĩ giải thích tình trạng của con và xem hình ảnh chụp MRI não, chị Trúc – mẹ của em L.N.T không thể kiềm được cảm xúc. Chị Trúc bồi hồi kể lại: “Bác sĩ báo tình trạng của con nguy kịch, tay chân tôi rụng rời. Lúc đó chỉ đặt hết hy vọng nhờ bác sĩ cứu con. Các bác sĩ can thiệp xong cho con là lúc nửa đêm. Bác sĩ kêu vô báo tin đã lấy được cục máu đông thành công, cứu được con. Tôi mừng rớt nước mắt. Đến nay, con đã tỉnh táo, tay chân vận động tốt rồi không còn mê mang như lúc nhập viện. Gia đình cảm ơn các bác sĩ rất nhiều!”
Đừng bỏ qua các triệu chứng lạ…
Nếu em L.N.T được khám tầm soát phát hiện sớm thì có cách điều trị dự phòng tốt hơn. Từ đó, em T. cũng tránh được trường hợp nặng như vừa xảy ra. May mắn gia đình đã kịp thời đưa em đến cơ sở y tế đủ khả năng điều trị. Các bác sĩ chuyên khoa cùng trang thiết bị hiện đại giúp xác định nguyên nhân gây đột quỵ. Đồng thời, ekip có thể nhanh chóng can thiệp điều trị. Do đó, quá trình hồi phục sau đột quỵ của em khá tốt. Đặt trường hợp nếu gia đình không đưa em đến điều trị đúng nơi và kịp thời. Hậu quả sẽ ảnh hưởng nhiều đến quá trình hồi phục hoặc dẫn đến tử vong.
Vì sức khỏe và tương lai của con em, phụ huynh hết sức lưu ý! Khi phát hiện các em có triệu chứng đau đầu âm ỉ kéo dài, co giật, yếu nửa người, nôn ói, lơ mơ… Phụ huynh cần phải đưa đến bệnh viện chuyên khoa để bác sĩ chẩn đoán và điều trị kịp thời. Trường hợp gia đình chần chừ đưa đến trễ thời gian vàng sẽ lỡ cơ hội điều trị tốt nhất. Ảnh hưởng đến quá trình hồi phục và phát triển toàn diện của em sau này.
Cơ hội điều trị cho trẻ em có bất thường về tim và não
Em L.N.T là một trong nhiều trường hợp là trẻ em có bất thường về não được điều trị tại Bệnh viện ĐKQT S.I.S Cần Thơ. Tại đây, Quỹ từ thiện bệnh nhân nghèo đột quỵ KV ĐBSCL phối hợp với Hội Chữ lành trái tim hỗ trợ các trường hợp trẻ em không may mắc các bệnh lý hiểm nghèo về tim mạch và não. Tùy theo mức độ khó khăn của từng ca bệnh mà chi phí điều trị có thể lên đến 100%. Đối với em L.N.T, Quỹ và Hội đã hỗ trợ cho gia đình 30 triệu đồng để giúp trang trải chi phí điều trị.

Quá trình điều trị thành công cho em L.N.T không thể không kể đến các bác sĩ tiếp nhận của Bệnh viện Nhi đồng TP. Cần Thơ. Nhờ sự tin tưởng mà các bác sĩ đã hướng dẫn người nhà kịp thời đưa bệnh nhân đến can thiệp chuyên sâu tại Bệnh viện ĐKQT S.I.S Cần Thơ.
Khi các bác sĩ gặp những trường hợp tương tự xin hãy nhanh chóng chuyển bệnh nhân đến S.I.S Cần Thơ để điều trị can thiệp kịp thời. “Chúng tôi có một lời cam kết là sẽ làm gì tốt nhất có thể để cứu chữa bệnh nhân, bất kể họ là ai và có tiền hay không. Miễn là có thể cứu họ chúng tôi sẽ làm ngay! Chữ “quốc tế” của S.I.S tượng trưng cho chất lượng tương đương với thế giới nhưng giá cả thì thực sự quá bình dân và có khi là 0 đồng cùng với lời cám ơn cũng đã đủ” – TS.BS Trần Chí Cường – Giám đốc Bệnh viện ĐKQT S.I.S Cần Thơ chia sẻ.
Cẩm Lài

















Đặt lịch hẹn
HOTLINE: 18001115