Chị B.T.K.T (48 tuổi, ngụ Vĩnh Long) nhập viện trong tình trạng đột quỵ nguy kịch. Tuy nhiên, phía sau ca cấp cứu ấy còn là những thách thức âm thầm, đòi hỏi sự kiên nhẫn và nỗ lực đặc biệt từ cả ê-kíp điều trị lẫn gia đình.

Chị T. được người nhà phát hiện trong tình trạng nôn ói, co giật và sau đó rơi vào hôn mê. Chị được đưa đi cấp cứu ngay trong đêm, chuyển qua nhiều tuyến và đến Bệnh viện Đa khoa Quốc tế S.I.S Cần Thơ vào khoảng 3 giờ sáng.

Tại S.I.S Cần Thơ, chị T. được chụp CT não khẩn cấp. Kết quả cho thấy xuất huyết não lượng lớn tại bán cầu phải, kèm phù não nặng và chèn ép nhu mô não rõ rệt.

Theo BS.CKI. Trần Duy Vũ – Khoa Ngoại tổng hợp, Bệnh viện S.I.S Cần Thơ: Đây là một ca xuất huyết não nặng, tiên lượng rất dè dặt, nguy cơ tử vong cao nếu không được can thiệp kịp thời.

Sau hội chẩn, ê-kíp bác sĩ điều trị thống nhất chỉ định phẫu thuật cấp cứu lấy máu bầm và giải áp nhu mô não nhằm giảm chèn ép.

BS.CKI. Trần Duy Vũ – Khoa Ngoại tổng hợp chia sẻ: Dù gia đình còn nhiều khó khăn về tài chính, nhưng với nguyên tắc đặt tính mạng người bệnh lên hàng đầu, chúng tôi đã xin ý kiến lãnh đạo và quyết định tiến hành phẫu thuật khẩn cấp ngay sau khi người nhà ký cam kết, tuyệt đối không để vấn đề chi phí làm chậm trễ việc cứu người.

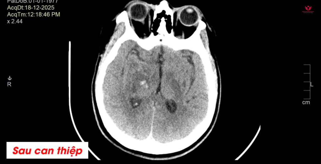
Sau phẫu thuật, chị T. được chuyển về khoa Hồi sức tích cực (ICU) để theo dõi sát. Kết quả CT não sau mổ cho thấy máu tụ đã được lấy sạch, tình trạng chèn ép não được cải thiện.

Qua thời gian hồi sức, chị T. dần có những tiến triển tích cực, có thể mở mắt theo y lệnh và bắt đầu giao tiếp với người nhà bằng những cử chỉ quen thuộc.

Chia sẻ về một trường hợp đặc biệt này, BS.CKI. Trần Duy Vũ – Khoa Ngoại tổng hợp cho biết: Thách thức đặc biệt trong điều trị ca bệnh này là bệnh nhân có khiếm khuyết ngôn ngữ bẩm sinh, khiến việc đánh giá tri giác, theo dõi diễn tiến và khả năng hồi phục sau phẫu thuật gặp nhiều hạn chế. Không chỉ ekip y tế mà cả người nhà cũng gặp khó khăn trong giao tiếp với bệnh nhân. Tuy nhiên, với sự kiên trì của đội ngũ điều trị và sự phối hợp chặt chẽ từ gia đình, chúng tôi đã áp dụng các phương pháp đánh giá khách quan phù hợp để theo dõi tình trạng bệnh nhân.

Con trai của chị T. xúc động chia sẻ: Nhờ sự tận tình và kiên nhẫn của các bác sĩ, mẹ em mới có cơ hội được cứu sống. Gia đình em thật sự biết ơn!

Theo bác sĩ, xuất huyết não thường xảy ra đột ngột nên rất khó nhận biết sớm bằng các dấu hiệu cảnh báo. Tuy nhiên, bà con hoàn toàn có thể tầm soát và dự phòng đối với các trường hợp nguy cơ cao như tăng huyết áp, hút thuốc lá, đái tháo đường kiểm soát kém hoặc điều trị không liên tục.

Đa số các ca xuất huyết não liên quan đến tăng huyết áp; một số ít do dị dạng mạch máu, túi phình mạch não hoặc bệnh lý thoái hóa theo tuổi, thường có biểu hiện đau đầu kéo dài, khó đáp ứng thuốc. Khi nghi ngờ người bệnh bị xuất huyết não, cần đảm bảo an toàn trước tiên, cho bệnh nhân nằm nơi thoáng, nghiêng đầu nếu nôn ói, không đưa vật lạ vào miệng khi co giật và nhanh chóng liên hệ cơ sở y tế có chuyên khoa gần nhất để được cấp cứu kịp thời, tránh bỏ lỡ thời gian vàng.

Song song với quá trình điều trị, gia đình bệnh nhân đã nhận được sự hỗ trợ từ Quỹ Từ thiện vì bệnh nhân nghèo đột quỵ Đồng bằng sông Cửu Long. Thông qua sự vận động của Quỹ, số tiền 30 triệu đồng đã được trao tặng đến gia đình, góp phần giảm bớt gánh nặng tài chính trong giai đoạn khó khăn nhất.

Huỳnh Anh, ảnh: Minh Đạt, Xuân Ngọc

Tin tức gần đây