Các bác sĩ Bệnh viện Đa khoa Quốc tế S.I.S Cần Thơ vừa thực hiện thành công ca phẫu thuật loại bỏ khối u nặng khoảng 2kg tại thành ngực cho một nữ bệnh nhân. Đáng nói, khối u đã phát triển trong suốt 4 năm, xâm lấn màng tim, màng phổi và xương sườn, đe dọa tính mạng người bệnh.
Bệnh nhân là chị H.T.H.T (45 tuổi, quê Cần Thơ), đến bệnh viện trong tình trạng ngực phải phì đại bất thường. Theo lời kể của bệnh nhân, cách đây 4 năm chị đã phát hiện một khối u nhỏ tại ngực, tuy nhiên do lo sợ và chưa được tư vấn rõ ràng từ các cơ sở y tế trước đó, chị đã trì hoãn điều trị, tự ý dùng thuốc bắc thay vì đến bệnh viện.

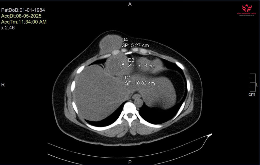
Qua thăm khám lâm sàng và cận lâm sàng, hình ảnh CT scan ghi nhận khối u có đường kính lên đến 11cm, trong đó một phần phát triển ra ngoài, một phần lan sâu vào trung thất, xâm lấn màng tim, màng phổi và xương sườn phải.

ThS.BS Đặng Văn Sô Đa, Khoa Ngoại tổng hợp, cho biết: “Êkip đã lên kế hoạch phẫu thuật cắt bỏ toàn bộ khối u, đồng thời cắt bỏ ba cung xương sườn bên phải có liên quan, sau đó tái tạo lại thành ngực cho bệnh nhân bằng lưới nhân tạo Titan.”

Ca phẫu thuật kéo dài khoảng 3 giờ. Sau mổ, sức khỏe bệnh nhân ổn định, có thể ăn uống, vận động nhẹ sau 5 ngày.
BS Sô Đa nhận định: nếu không được phẫu thuật kịp thời, khối u sẽ tiếp tục phát triển và chèn ép tim, phổi và các mạch máu lớn, gây suy hô hấp, rối loạn tuần hoàn, thậm chí tử vong.
Từ trường hợp này, các bác sĩ khuyến cáo người dân nên chủ động tầm soát sức khỏe định kỳ, không nên chủ quan trước các dấu hiệu bất thường như đau ngực kéo dài, có khối u cứng, khó thở, nuốt nghẹn… Việc phát hiện và điều trị sớm giúp tăng khả năng điều trị triệt để và cải thiện đáng kể tiên lượng sống.
Kim Cương, ảnh & video: Đức Thịnh, Tuấn Anh