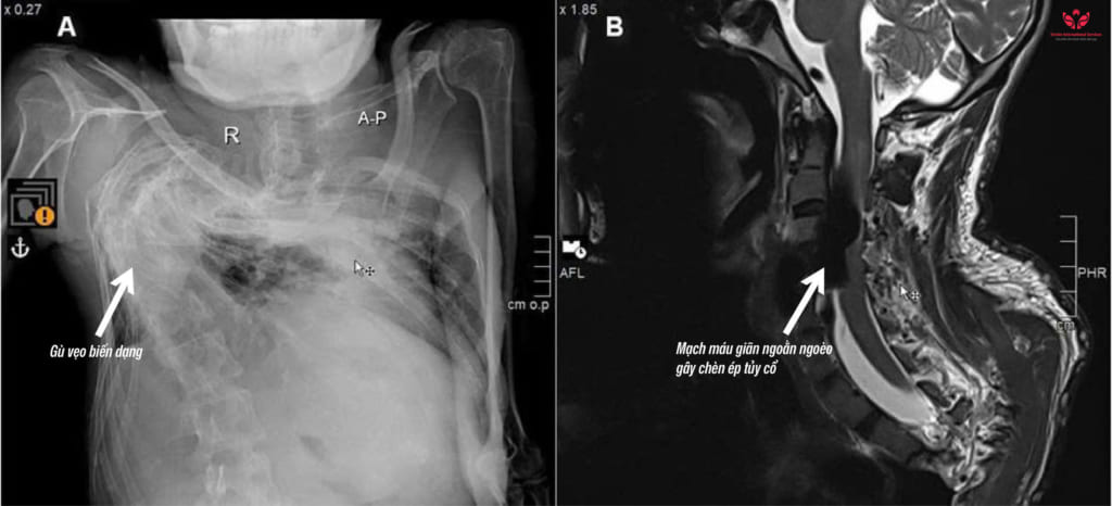
Anh V.V.N. (38 tuổi, ngụ An Giang) mang dị tật gù vẹo cột sống bẩm sinh, kèm u sợi thần kinh. Hai tháng trước khi nhập viện tại Bệnh viện Đa khoa Quốc tế S.I.S Cần Thơ, anh N. bắt đầu xuất hiện đau cổ, tê yếu tay chân, khó vận động, tiến triển nhanh đến liệt gần như hoàn toàn tứ chi.

Chị V.T.T. – chị gái của anh N. chia sẻ: “Em tôi đau đớn, rên suốt vì nhức, không ngủ được. Mình không đành lòng. Đã đi nhiều nơi mà không ra bệnh, nghe nói ở Bệnh viện S.I.S Cần Thơ có bác sĩ giỏi về mạch máu tủy, nên nghĩ “còn nước còn tát”, đưa em xuống đây, nếu không được nữa thì mình mới chấp nhận…”

Phát hiện tổn thương hiếm gặp

Từ nhỏ, anh N. đã mắc phải bệnh Von Recklinghausen, một rối loạn di truyền hiếm gặp với tỷ lệ mắc ước tính khoảng 1/3000 cá thể. Căn bệnh khiến cơ thể anh xuất hiện các u sợi thần kinh và dễ gây biến dạng xương khớp, gù vẹo cột sống.

Qua thăm khám và chụp MRI, bác sĩ phát hiện anh N. bị bệnh rò động tĩnh mạch vùng cột sống làm cho tĩnh mạch quanh tủy sống vùng cổ giãn ngoằn ngoèo, tạo thành một khối lớn gây chèn ép. Tình trạng này là nguyên nhân khiến anh N. bị yếu liệt tay chân, đau nhức và khó vận động. Bác sĩ nhận định, đây là một bệnh lý cực kỳ hiếm gặp.

Trường hợp hiếm gặp: Rò động tĩnh mạch cột sống trên nền gù vẹo nặng

Theo BS.CKI Trần Nguyễn Khánh – Đơn vị Can thiệp mạch DSA, Bệnh viện S.I.S Cần Thơ:

Trường hợp này phức tạp hơn nhiều so với thông thường vì cột sống biến dạng nặng, giải phẫu mạch máu bị thay đổi theo, khiến việc tiếp cận điều trị trở nên rất khó khăn.

Một ca can thiệp nội mạch đầy thách thức

Trước diễn tiến nhanh của bệnh, ê-kíp bác sĩ đã khẩn trương hội chẩn và quyết định can thiệp nội mạch bít điểm rò. Đây là kỹ thuật tiên tiến, ít xâm lấn, giúp tiếp cận chính xác vị trí tổn thương mà không cần phẫu thuật mở.

BS.CKI Trần Nguyễn Khánh – Đơn vị can thiệp DSA, Bệnh viện S.I.S Cần Thơ chia sẻ:

Để tiếp cận được vị trí rò, ê-kíp bác sĩ không thể đi theo đường động mạch đùi như thông thường, mà phải luồn ống thông từ hai bên động mạch quay ở cổ tay, vòng qua các nhánh mạch phức tạp mới tới được vùng rò.

Ê-kíp đã đặt coil kim loại để bít tắc hai đầu của đoạn mạch mang điểm rò, đồng thời bơm keo sinh học NBCA nồng độ cao để khóa chặt vị trí rò.

Sau hơn 2 giờ can thiệp, lỗ rò được ê-kíp bít tắc hoàn toàn, chèn ép lên tủy sống được giải phóng, mở ra cơ hội phục hồi vận động cho người bệnh.

Vận động trở lại chỉ sau 1 tuần

Ổn định sức khỏe sau can thiệp, anh N. được chuyển sang khoa Vật lý trị liệu – Phục hồi chức năng để tiếp tục chương trình điều trị hậu can thiệp. Đây là bước mà Bệnh viện S.I.S Cần Thơ đặc biệt chú trọng: không chỉ dừng lại ở việc cứu sống bệnh nhân mà còn giúp họ sớm phục hồi vận động, trở lại cuộc sống bình thường.

Theo BS.CKI Trương Đan Kha – Phó khoa Vật lý trị liệu – Phục hồi chức năng, Bệnh viện S.I.S Cần Thơ:

Phục hồi chức năng ở giai đoạn cấp hoặc giai đoạn sớm ở những bệnh nhân có di chứng yếu liệt là yếu tố quan trọng. Đây được xem là giai đoạn vàng để giúp người bệnh nhanh chóng tái hòa nhập cuộc sống. Phục hồi chức năng là phần không thể tách rời của điều trị toàn diện cho người bệnh.

Chỉ sau một tuần kiên trì tập luyện, anh N. đã có thể tự đứng dậy, đi lại độc lập và tự chăm sóc bản thân.

Trường hợp hiếm gặp: Rò động tĩnh mạch cột sống trên nền gù vẹo nặng

Anh N. không giấu nổi xúc động, chia sẻ:

Nếu không biết đến bác Cường và Bệnh viện S.I.S Cần Thơ, chắc tôi đã phải chấp nhận. Nhờ bác sĩ tận tâm, điều trị thành công, giờ tôi đã đi lại được, có hy vọng sống. Tôi biết ơn lắm!

Qua trường hợp này, BS.CKI Trần Nguyễn Khánh cũng nhấn mạnh: Khi có triệu chứng đau cổ, tê chi, yếu liệt tay chân, người bệnh cần đến ngay các cơ sở y tế có chuyên khoa mạch máu tủy và phục hồi chức năng để được chẩn đoán, điều trị sớm. Phát hiện và can thiệp kịp thời sẽ giúp giảm di chứng, rút ngắn thời gian hồi phục, nâng cao chất lượng cuộc sống.

Trong ngành Y tế Việt Nam, Bệnh viện Đa khoa Quốc tế S.I.S Cần Thơ đã tạo được dấu ấn nổi bật khi cấp cứu và điều trị thành công rất nhiều ca hy hữu, hiếm gặp, tự hào là nơi mang lại hy vọng và cơ hội sống cho nhiều người bệnh.

Huỳnh Anh, ảnh: Tuấn Anh, Đức Thịnh

Tin tức gần đây