Những nét vẽ từng bị gián đoạn bởi cơn hôn mê kéo dài giờ đây đã dần trở lại. Sau 11 tháng được các bác sĩ tại Bệnh viện Đa khoa Quốc tế S.I.S Cần Thơ nỗ lực điều trị, nam sinh tại miền Tây, từng đối mặt với ranh giới sinh tử vì xuất huyết não, nay đã có thể cầm bút, tiếp tục ước mơ trở thành họa sĩ.

Em T. vẫn miệt mài với từng nét vẽ của mình, ảnh: nhân vật cung cấp.
“Em thích vẽ từ nhỏ. Trước đây em vẽ rất nhiều, có lưu lại hết. Em chỉ mong được đi học lại để sau này làm họa sĩ.”– Đó là lời chia sẻ của em N.C.T (14 tuổi), dù giọng có chút rụt rè nhưng ánh mắt đầy hy vọng, sau gần 1 năm đối mặt với cơn thập tử nhất sinh.
Giấc mơ đến lớp tưởng chừng dang dở
Ít ai biết rằng, chỉ cách đây chưa đầy một năm, việc cầm lại cây bút đối với em từng là điều xa vời.
“Lúc đó em đang ngồi học thì tự nhiên đau nửa đầu rất dữ dội. Em xin cô xuống phòng y tế nghỉ, lúc đó tay chân vẫn bình thường, chỉ đau đầu thôi…” – em T. nhớ lại.
Cơn đau đầu ấy tưởng chừng vô hại bởi không ai nghĩ với một học sinh lớp 8, đó lại là dấu hiệu của một biến cố nguy hiểm.
Chị Trương Thị Quế Thanh – mẹ em, kể lại trong nghẹn ngào: “Bé nói nhức đầu nên gia đình đưa đi khám gần nhà, bác sĩ cho thuốc uống 5 ngày. Trong thời gian đó bé vẫn nói ‘mẹ ơi con khỏe’, nên mình cũng không nghĩ gì nặng.”

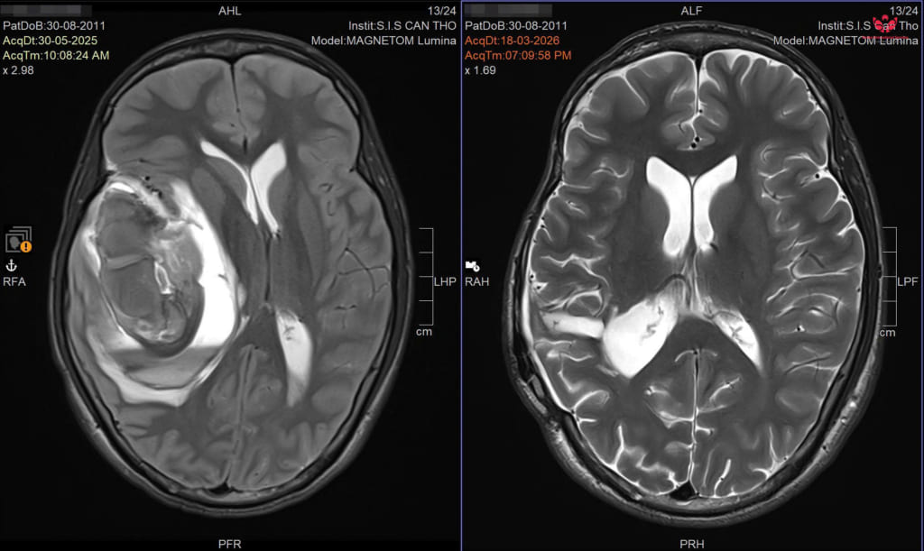
Hình ảnh chụp cộng hưởng từ MRI não của nam sinh Trước và Sau điều trị.
Cho đến ngày thứ 5, có lẽ với một đứa trẻ, những gì xảy ra hôm đó là quá sức chịu đựng. Em T. vẫn nhớ như in khoảnh khắc ấy, như một ký ức không thể quên: “Lúc đó em đang chuẩn bị vệ sinh cá nhân để đến trường dự lễ tổng kết năm học thì cơn đau đầu lại xuất hiện dữ dội hơn. Sau đó tay chân trái của em không còn cử động được nữa… rồi em không còn biết gì.”
Cuộc giành giật sự sống và phép màu sau 11 tháng
Trước thời khắc sinh tử, gia đình đã đứng trước nhiều băn khoăn khi phải lựa chọn giữa việc chuyển lên TP.HCM hay đưa con về Cần Thơ điều trị. Sau cùng, họ quyết định đặt trọn niềm tin và hy vọng vào Bệnh viện Đa khoa Quốc tế S.I.S Cần Thơ.

Hình ảnh chụp cộng hưởng từ MRI não của nam sinh Trước và Sau điều trị.
Tại Bệnh viện Đa khoa Quốc tế S.I.S Cần Thơ, các bác sĩ nhanh chóng xác định em bị xuất huyết não do vỡ dị dạng mạch máu não (AVM). Đây là bệnh lý dị dạng mạch máu bẩm sinh, thường không có biểu hiện đặc biệt, cho đến khi chúng dọa vỡ hoặc đã vỡ với những cơn đau đầu đột ngột dữ dội và có thể cướp đi tính mạng trong thời gian rất ngắn.
BS.CKI Nguyễn Quang Hưng – Trưởng Đơn vị Phẫu thuật Thần kinh, cho biết, trong trường hợp này, bệnh nhân có dị dạng mạch máu não khá phức tạp đã vỡ kèm theo khối máu tụ lớn, do đó các bác sĩ đã lựa chọn chiến lược điều trị phối hợp nhằm tối ưu hiệu quả.
“Ngay khi nhập viện, bệnh nhân được cấp cứu và đánh giá nhanh, sau đó tiến hành can thiệp nội mạch để giảm lưu lượng dòng chảy, hạn chế nguy cơ chảy máu. Tiếp theo, ê-kíp phẫu thuật thần kinh thực hiện bóc tách và loại bỏ toàn bộ khối dị dạng.” – BS.CKI Nguyễn Quang Hưng thông tin.

BS.CKI Nguyễn Quang Hưng cùng em T. và mẹ tươi vui trở lại trong ngày tái khám sau gần 1 năm xảy ra biến cố.
Sau ca mổ, em tỉnh lại chỉ sau một đêm. Mẹ em xúc động nói: “Mổ xong chỉ sau một đêm là bé đã tỉnh lại. Bé nằm viện khoảng một tuần rồi được xuất viện, sau đó tập vật lý trị liệu thêm gần ba tuần. Chỉ sau 1–2 tháng là bé đã có thể đi lại bình thường. Gia đình tôi thật sự rất biết ơn các bác sĩ đã cứu sống con. Suốt một năm qua, bé khỏe mạnh, không còn bị những cơn đau đầu như trước nữa”.
Viết tiếp ước mơ đến trường
Gần 1 năm trôi qua, từ một bệnh nhân hôn mê, em đã hồi phục gần như trọn vẹn. Hai tay vận động bình thường, trí nhớ ổn định, chân chỉ còn yếu nhẹ.
Điều đặc biệt hơn cả, em đã có thể cầm bút vẽ trở lại, điều mà trước đây gia đình từng nghĩ có thể không bao giờ xảy ra.

Những bức tranh mà em T. đã vẽ với ước mơ làm Họa sĩ của mình, ảnh: nhân vật cung cấp.
Không chỉ vậy, với tình trạng hồi phục tích cực hiện tại, các bác sĩ đánh giá em hoàn toàn có thể quay lại trường lớp trong năm học 2026–2027.
Đừng để giấc mơ của trẻ bị gián đoạn vì sự chủ quan
Theo BS.CKI Nguyễn Quang Hưng, việc xử lý dị dạng mạch máu não tương tự như loại bỏ một “ổ bệnh” trong não. Nếu không được giải quyết triệt để, nguy cơ tái phát và biến chứng sẽ rất cao.
Đáng lưu ý, AVM có thể tồn tại âm thầm trong thời gian dài, hầu như không có triệu chứng rõ ràng. Vì vậy, phụ huynh cần đặc biệt cảnh giác khi trẻ xuất hiện các dấu hiệu như đau đầu dữ dội, bất thường hoặc kéo dài không rõ nguyên nhân, nhất là khi kèm theo các biểu hiện thần kinh như co giật, yếu tay chân…
Trong những trường hợp này, trẻ cần được đưa đến cơ sở y tế có khả năng cấp cứu và can thiệp phẫu thuật thần kinh kịp thời để không bỏ lỡ “giờ vàng”.
“Không phải trường hợp nào cũng may mắn giữ lại được sự sống và tương lai như bệnh nhân này”- BS. Hưng nhấn mạnh.
Kim Cương, ảnh: Đức Thịnh, Tuấn Anh
Thông tin trên:

















Đặt lịch hẹn
HOTLINE: 18001115