Mới đây, nam bệnh nhân đột quỵ não tưởng chừng không còn hy vọng đã được các bác sĩ Bệnh viện Đa khoa Quốc tế S.I.S Cần Thơ cứu sống ngoạn mục như một phép màu cho gia đình khi đã “ngược dòng” từ TP.HCM về.
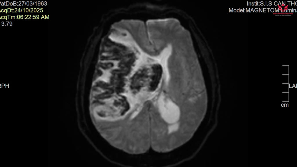
Bệnh nhân N.T.H. (62 tuổi, ngụ phường Khánh Hội, TP.HCM) nhập viện trong tình trạng hôn mê sâu (GCS 4–5 điểm), phải thở máy. Kết quả chụp MRI não cho thấy nhồi máu não diện rộng vùng bán cầu phải chuyển dạng xuất huyết, phù não nặng, kèm nhiều bệnh nền phức tạp như tăng huyết áp, đái tháo đường, rối loạn mỡ máu, bệnh tim thiếu máu cục bộ.

Trước đó khoảng 2 ngày, ông H. đã được điều trị đột quỵ tại một bệnh viện ở TP.HCM. Dù đã được điều trị can thiệp lấy huyết khối trong giờ vàng, nhưng tiên lượng không khả quan. Khi bệnh mê, bác sĩ khuyến nghị mổ mở sọ với cảnh báo nguy cơ cao: “Một là sống đời thực vật, hai là có thể tử vong trên bàn mổ nếu không đủ sức”. Không còn lựa chọn, gia đình xin cho ông về nhà, chuẩn bị cho điều tồi tệ nhất.
Qua người quen giới thiệu, gia đình đã quyết định đưa ông H. xuống Bệnh viện Đa khoa Quốc tế S.I.S Cần Thơ ngay trong đêm, với ý định ban đầu: “Đem về nhà cũng mất, nếu xuống đây (Bệnh viện SIS – PV) mà mất thì là số mạng của chồng tôi.” – bà Mỹ Linh, vợ bệnh nhân xúc động kể.
Ngay khi tiếp nhận, ekip bác sĩ phẫu thuật thần kinh của Bệnh viện S.I.S Cần Thơ đã hội chẩn khẩn. Ekip bác sĩ nhanh chóng tiến hành phẫu thuật mở sọ giải ép để giảm áp lực nội sọ, giành lại từng giây sự sống cho người bệnh.

BS. Tôn Nữ Thị Điểm – phẫu thuật viên chia sẻ, điều khó khăn nhất là bệnh nhân đến muộn, tổn thương não diện rộng và nền bệnh lý phức tạp. Nhưng chính sự quyết tâm và tin tưởng của gia đình, chúng tôi đã may mắn thực hiện thành công ca mổ, giảm được áp lực nội sọ, giúp não hồi phục dần…

Sau 10 ngày hậu phẫu (tính đến ngày 4/11), ông H. đã qua cơn nguy kịch, tuy còn yếu nhiều tay chân trái nhưng ông H. có thể nói chuyện, cử động tốt tay chân phải và thực hiện được y lệnh.
Nhìn chồng hồi phục từng ngày, bà Linh xúc động:
“Tôi tưởng chồng tôi mất rồi nhưng không ngờ Bệnh viện SIS đã cứu sống chồng tôi. Tôi rất cảm ơn. Tôi sẽ tiếp tục ở đây để tập vật lý trị liệu cho chồng tôi đến khi nào đi được như diễn viên Huỳnh Anh Tuấn.”.
Bác sĩ Điểm khuyến cáo, với những người cao tuổi, mắc bệnh nền như tăng huyết áp, tiểu đường, rối loạn mỡ máu, bệnh tim thiếu máu cục bộ… cần thăm khám định kỳ, dùng thuốc đều đặn và tránh rượu bia, thuốc lá. Khi có triệu chứng đột ngột yếu liệt tay chân, méo miệng, nói khó, đau đầu dữ dội, phải đưa đến cơ sở y tế có điều trị đột quỵ gần nhất để không bỏ lỡ “giờ vàng” cứu não.
Kim Cương, ảnh: Đức Thịnh, Tuấn Anh

















Đặt lịch hẹn
HOTLINE: 18001115