Các bác sĩ Bệnh viện Đa khoa Quốc tế S.I.S Cần Thơ vừa phẫu thuật thành công cho một trường hợp bệnh nhân lớn tuổi bị gãy thân xương đùi, với thời gian hồi phục nhanh, xuất viện sau 3 ngày điều trị.

Bệnh nhân là bà N.T.K.N (62 tuổi, ngụ phường Thới Long, TP. Cần Thơ). Qua khai thác bệnh sử, bệnh nhân nhập viện trong tình trạng biến dạng vùng đùi sau tai nạn giao thông. Ngay khi tiếp nhận, ê-kíp cấp cứu đã nhanh chóng thăm khám, thực hiện chẩn đoán hình ảnh và xác định gãy thân xương đùi trong khoảng 30 phút, đồng thời chỉ định hướng điều trị phù hợp.
BS. CKI Huỳnh Anh – khoa Ngoại tổng hợp Bệnh viện Đa khoa Quốc tế S.I.S Cần Thơ, cho biết: “Gãy xương đùi ở người cao tuổi, không phải là chấn thương đơn thuần mà còn tiềm ẩn nhiều nguy cơ biến chứng nguy hiểm như huyết khối tĩnh mạch, thuyên tắc phổi, nhồi máu cơ tim hoặc đột quỵ, đặc biệt ở những bệnh nhân có bệnh lý nền”.
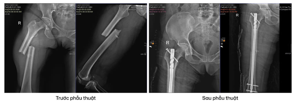
Trường hợp này, bệnh nhân có tiền sử bệnh tim mạch, tăng huyết áp và đái tháo đường nên đã được hội chẩn liên chuyên khoa trước khi quyết định phẫu thuật. Phương pháp được lựa chọn là kết hợp xương bằng đinh nội tủy xương đùi, một kỹ thuật hiện đại trong chấn thương chỉnh hình giúp cố định ổ gãy vững chắc và tạo điều kiện cho bệnh nhân sớm vận động.
Ca phẫu thuật diễn ra thuận lợi trong khoảng 35 phút. Sau mổ, bệnh nhân hồi phục tốt, vết mổ ổn định, có thể ăn uống, vận động nhẹ sau 24 giờ và tập đi với khung hỗ trợ trong những ngày tiếp theo. Bệnh nhân được xuất viện sau 3 ngày điều trị.

Chia sẻ sau điều trị, bà N. cho biết trước đó bị chấn thương do va chạm giao thông được người nhà đưa thẳng đến bệnh viện Đa khoa Quốc tế S.I.S Cần Thơ cấp cứu. Sau phẫu thuật, sức khỏe ổn định, việc đi lại cải thiện rõ rệt và bày tỏ sự hài lòng với kết quả điều trị.
“Tôi xin gửi lời cảm ơn đến bác sĩ Huỳnh Anh và ê-kíp đã phẫu thuật rất thành công cho tôi. Tôi nghe nhiều người nói các bác sĩ ở đây điều trị rất tốt, tay nghề cao nên người nhà tôi đưa thẳng vô đây điều trị luôn.” – Bà N. chia sẻ.
Theo các bác sĩ, việc đưa bệnh nhân đến cơ sở y tế sớm đóng vai trò quan trọng trong hiệu quả điều trị.
Nếu chậm trễ hoặc áp dụng các phương pháp dân gian như bó thuốc, đắp lá, người bệnh có thể đối mặt với nguy cơ nhiễm trùng, chậm liền xương, thậm chí làm tình trạng tổn thương trở nên nghiêm trọng hơn. – BS.CKI Huỳnh Anh cho hay.
BS.CKI Huỳnh Anh cũng đưa ra khuyến cáo, người cao tuổi cần chú ý phòng ngừa té ngã, tầm soát và điều trị loãng xương, đồng thời kiểm soát tốt các bệnh lý nền như tim mạch, tăng huyết áp, đái tháo đường nhằm giảm nguy cơ chấn thương và biến chứng.
Việc ứng dụng các kỹ thuật phẫu thuật hiện đại kết hợp quy trình điều trị đa chuyên khoa đã giúp Bệnh viện Đa khoa Quốc tế S.I.S Cần Thơ nâng cao hiệu quả điều trị, đặc biệt trong xử trí các trường hợp chấn thương phức tạp ở người cao tuổi.
Kim Cương, ảnh: Đức Thịnh, Tuấn Anh

















Đặt lịch hẹn
HOTLINE: 18001115