Chỉ một cú trượt chân khi đang sinh hoạt trong nhà, cụ bà 97 tuổi đã bị gãy xương vùng khớp háng và không thể đi lại. Với nhiều bệnh nền và nguy cơ biến chứng cao, ca phẫu thuật cho bệnh nhân gần 100 tuổi được xem là một quyết định đầy thách thức đối với các bác sĩ tại Bệnh viện Đa khoa Quốc tế S.I.S Cần Thơ.
Té ngã trong sinh hoạt, phát hiện gãy xương vùng khớp háng
Bệnh nhân là cụ bà L.T.K 97 tuổi, ngụ Cần Thơ. Theo gia đình, khi đang sinh hoạt trong nhà, cụ không may trượt chân té ngã. Sau tai nạn, cụ không thể đứng dậy hay đi lại được nên được người nhà đưa đến cấp cứu tại Bệnh viện Đa khoa Quốc tế S.I.S Cần Thơ.
THS.BS Nguyễn Anh Trung – Phó khoa Ngoại tổng hợp Bệnh viện Đa khoa Quốc tế S.I.S Cần Thơ cho biết, kết quả thăm khám và chụp chiếu xác định bệnh nhân bị gãy xương vùng mấu chuyển xương đùi, đây là dạng gãy xương thường gặp ở người lớn tuổi khi té ngã.
“Ở người cao tuổi, xương thường bị lão hóa và loãng xương nên chỉ cần một va chạm hoặc té ngã nhẹ cũng có thể gây gãy xương vùng khớp háng. Khi xảy ra tình trạng này, bệnh nhân gần như không thể đi lại và buộc phải nằm bất động.” bác sĩ Trung cho biết.

Nguy cơ biến chứng nặng nếu nằm bất động kéo dài
Theo các bác sĩ, với bệnh nhân cao tuổi, việc nằm lâu sau gãy xương có thể dẫn đến nhiều biến chứng nguy hiểm như huyết khối tĩnh mạch sâu, thuyên tắc phổi, viêm phổi hoặc thậm chí nhồi máu cơ tim, đột quỵ.
“Khi nhập viện, chỉ số D-dimer (xét nghiệm để loại trừ các bệnh lý huyết khối nguy hiểm) của bệnh nhân tăng cao, siêu âm mạch máu và chụp CT cũng ghi nhận nhiều mảng xơ vữa quanh thành mạch. Điều này cho thấy nguy cơ hình thành huyết khối và thuyên tắc rất lớn nếu bệnh nhân phải nằm bất động kéo dài.” – BS. Trung thông tin.
Trước tình trạng đó, các bác sĩ đã hội chẩn đa chuyên khoa và quyết định phẫu thuật kết hợp xương cho bệnh nhân nhằm giúp bệnh nhân sớm vận động trở lại, giảm nguy cơ biến chứng.
Ca phẫu thuật 30 phút cho bệnh nhân 97 tuổi
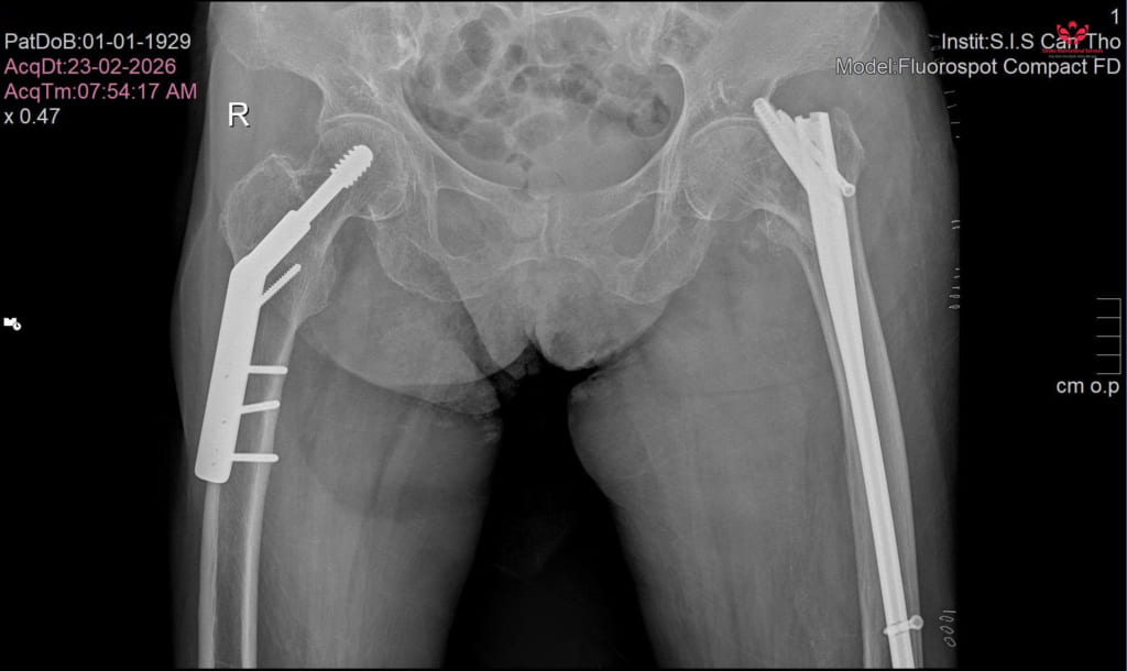
Bệnh nhân được phẫu thuật kết hợp xương bằng đinh nội tủy, đây là phương pháp hiện đại giúp cố định xương và phục hồi cấu trúc giải phẫu vùng gãy.
Ca phẫu thuật diễn ra trong khoảng 30 phút dưới gây mê toàn thân. Trong suốt quá trình phẫu thuật, bệnh nhân được theo dõi chặt chẽ các chỉ số sinh tồn như huyết áp, nhịp tim nhằm đảm bảo an toàn tuyệt đối.
Theo bác sĩ Trung, với những bệnh nhân tuổi rất cao, gây mê hồi sức đóng vai trò đặc biệt quan trọng.
“Trong quá trình gây mê, nếu huyết áp bệnh nhân bị tụt có thể dẫn đến những biến chứng nguy hiểm như nhồi máu cơ tim hoặc thuyên tắc mạch. Vì vậy, ekip gây mê phải theo dõi liên tục và sử dụng các loại thuốc mê phù hợp để đảm bảo an toàn cho bệnh nhân.” bác sĩ Trung cho biết.

Nhờ sự phối hợp của ekip phẫu thuật và gây mê hồi sức cùng hệ thống trang thiết bị hiện đại, ca mổ đã diễn ra thuận lợi. Sau phẫu thuật, bệnh nhân tỉnh táo, có thể trò chuyện và được sử dụng thuốc giảm đau cũng như thuốc dự phòng huyết khối. Sức khỏe bệnh nhân ổn định, tinh thần tốt và rất hài lòng với kết quả điều trị và đã được ra viện.
Khuyến cáo phòng tránh té ngã ở người cao tuổi
Từ trường hợp trên, các bác sĩ khuyến cáo người lớn tuổi và gia đình cần đặc biệt chú ý phòng tránh té ngã trong sinh hoạt hằng ngày, bởi đây là nguyên nhân hàng đầu gây gãy xương vùng khớp háng ở người cao tuổi.
Ngoài ra, người cao tuổi nên được kiểm tra và tầm soát loãng xương định kỳ. Việc đo mật độ xương và điều trị sớm có thể giúp giảm nguy cơ gãy xương khi xảy ra va chạm hoặc té ngã.
“Đối với người cao tuổi, khi có dấu hiệu đau vùng hông, không thể đứng hoặc đi lại sau khi té ngã, cần đưa bệnh nhân đến cơ sở y tế sớm để được chẩn đoán và điều trị sớm, tránh được hậu quả đáng tiếc” – bác sĩ Trung khuyến cáo.
Kim Cương

















Đặt lịch hẹn
HOTLINE: 18001115